商汤科技举办病理、放疗两大MICCAI国际挑战赛,推动AI医疗落地

近日,商汤科技宣布将联合衡道病理、上海交通大学医学院附属瑞金医院、西京医院、上海市松江区中心医院举办MICCAI 2019消化道病理图像检测与分割国际挑战赛,联合医诺智能科技、浙江省肿瘤医院举办MICCAI 2019放疗规划自动结构勾画国际挑战赛,旨在聚焦放疗和病理两大领域的临床需求,将长期积累的数据资源和专家知识开放给研究领域,推动相关评价标准的建立,共同促进AI医疗的发展。
通过对AI技术与临床医疗的深入探索,商汤科技在向医疗领域持续输出原创技术、学术成果以及数据资源的同时,将以此次挑战赛为平台,进一步激发产学研协同效应,促进产业与学术研究的交流,帮助建立行业规范和标准,助力AI医疗在临床中的落地。
AI医疗的发展是一场“应用的竞赛”
MICCAI(Medical Image Computing and Computer Assisted Intervention)是国际公认的医学影像计算与计算机辅助相关领域最具声望和影响力的顶级学术会议,自2012年起,MICCAI 开始每年面向全球举办针对医学影像分析不同领域的挑战大赛(Grand Challenge),并以强大的学术引导力,吸引了国内外顶级学府及著名医疗技术机构的积极响应和参与。
去年,新成立的商汤智慧健康团队在MICCAI 2018上一举包揽“左心室量化”、“左心房分割”、“脑卒中病灶分割”以及“椎间盘分割与定位”四项重要比赛的世界冠军。在后续的工作中,商汤科技将目光更多的聚焦在临床落地的应用上,力图实现不同临床方向的AI赋能。以放疗和病理领域为例:商汤与在放疗领域扎根十四年的医诺智能合作,在医诺放疗规划系统基础上,商汤基于自身的AI能力开发了一系列的器官及靶区勾画算法,有效地提高了放疗规划的效率和质量,全方位、智能化地助力有限放疗医生的产能,让更多基层病人受益;在病理领域上,商汤与全国首家连锁化独立第三方病理诊断中心——衡道病理合作,联合上海瑞金医院、松江医院、西安西京医院等多家医院,开发了可精准分析组织病理和细胞级别异常检测的算法,在此基础上研发的全套消化道活检筛查系统准确高效地提高了医生的工作效率,助力人工智能算法在病理科室的实际落地。
在不断的落地实践中,商汤和医院及企业合作,积累了大量脱敏数据(避免直接或间接识别病人相关个人信息),并联合专家倾注大量时间和精力对数据进行高质量标注。今年,商汤及其合作伙伴将在放疗和病理这两场MICCAI国际挑战赛中将这些高质量数据对外释放,除了提供较之以往更大规模的数据集外,商汤还将提供长期开放的测试服务器。两项比赛提供的大规模放疗自动勾画标准数据集、印戒细胞数据集、结肠镜检查组织切片数据集和在线测试服务器,将分别作为未来放疗自动勾画算法、印戒细胞检测和结肠镜组织检查的标准评价指标之一,此后开发的人工智能算法,均可在测试服务器上进行测试。
正如商汤科技副总裁、研究院副院长张少霆所说:“AI医疗的发展不仅仅是学术成果和技术突破的竞赛,更是应用和场景的竞赛。AI技术只有真正实现应用落地,真正帮助医生解决实际痛点,切实提高他们的工作效率和精度,惠及更多患者,技术和研究才有价值。”
两大挑战赛直击临床痛点 推动AI医疗算法再进一步
- 国际挑战赛一:放疗规划自动结构勾画
目前,放疗是癌症治疗的重要手段之一,放疗规划则是放射治疗中至关重要的一环,为了确保肿瘤区域接收足够的放射量,同时防止危及器官中正常细胞受到过多放射而导致损伤,在规划阶段精确制定放射线的分布尤为重要。

然而,医生在为病人制定放疗规划的实际过程中,需要在病人拍摄的几十甚至上百张CT图像上进行危及器官和靶区勾画,这个过程非常繁琐,耗时耗力,占据了放疗医生大量的时间,限制了医生的工作效率,而自动危及器官及靶区勾画算法能够极大地降低放疗规划时间,提升医生效率的同时降低放疗整体成本。
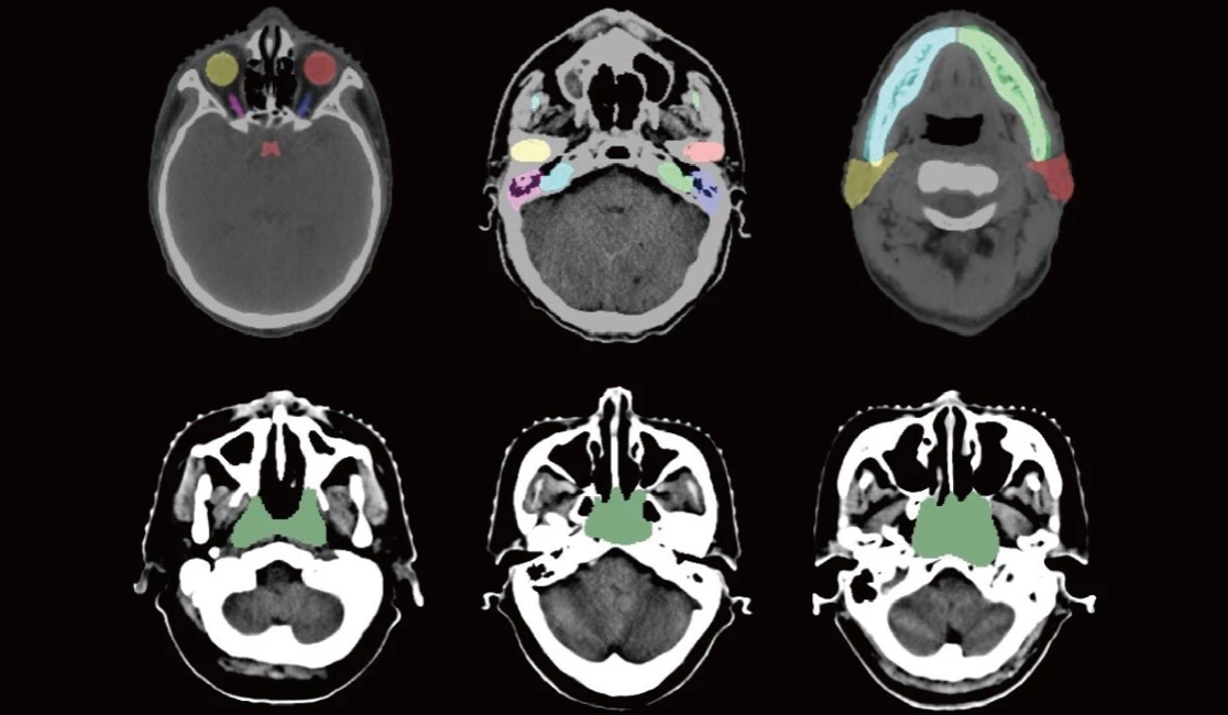
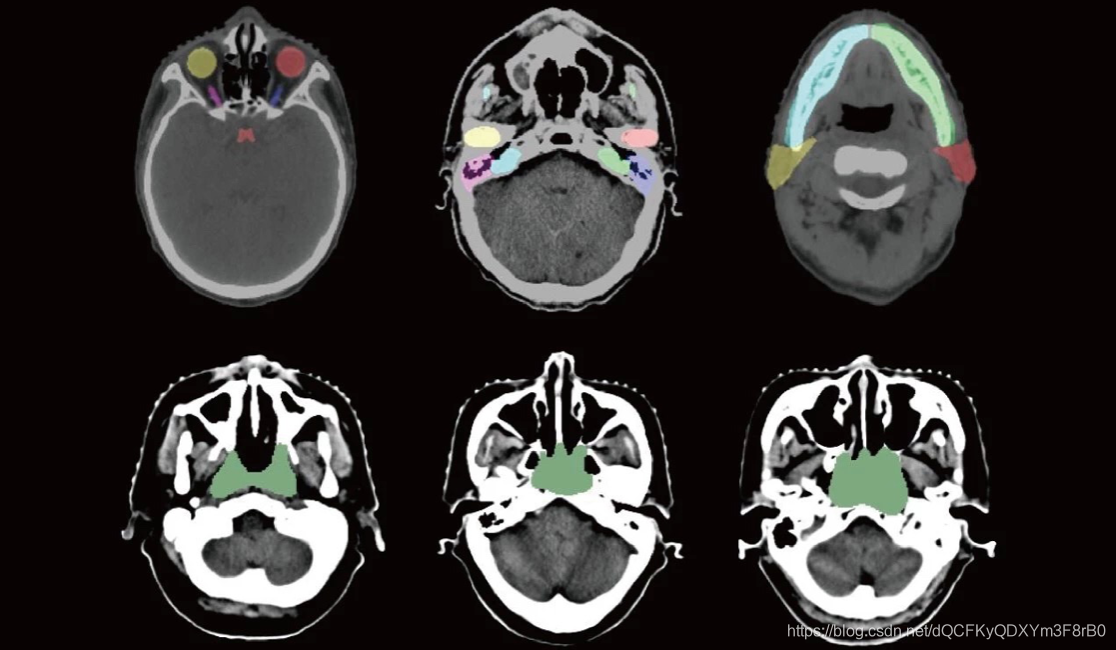
但业内普遍缺乏标准化高质量的训练数据,此次主办的MICCAI 2019放疗规划自动结构勾画国际挑战赛,将公布大量具有专家标注的CT数据,用于此次“头颈部危及器官(OAR)分割”、“胸部危及器官(OAR)分割”、“鼻咽癌放疗靶区(GTV)分割”和“肺癌放疗靶区(GTV)分割”四项挑战任务。这些CT数据包含鼻咽癌与肺癌两种癌症数据,且本次数据集规模比以往所有公开数据集规模都大,包含了50位鼻咽癌患者的CT数据及相应的1100个危及器官和放疗靶区GTV的标注,50位肺癌患者的CT数据及相应的300个危及器官和放疗靶区GTV的标注,这些数据集的释放,将极大地推动CT图像中危及器官和靶区勾画研究的进展。
- 国际挑战赛二:消化道病理图像检测与分割
病理检查是疾病诊断的“金标准”,近年来,随着数字病理学的发展,医生得以远程对病理全切片扫描图像(WSI)进行诊断分析,这可以极大地提高偏远地区的医疗水平。但WSI的人工分析十分耗费病理医生的时间,有的WSI尺寸甚至达到100,000 X 100,000像素,在没有足够数量病理医生的地区,远程检查WSI在实际实施中困难重重。而通过开发医学人工智能模型来自动检测、分割和分类不同病理图像中的异常区域及细胞,将极大程度上解决这一难题。

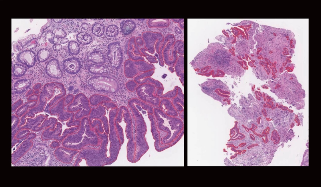
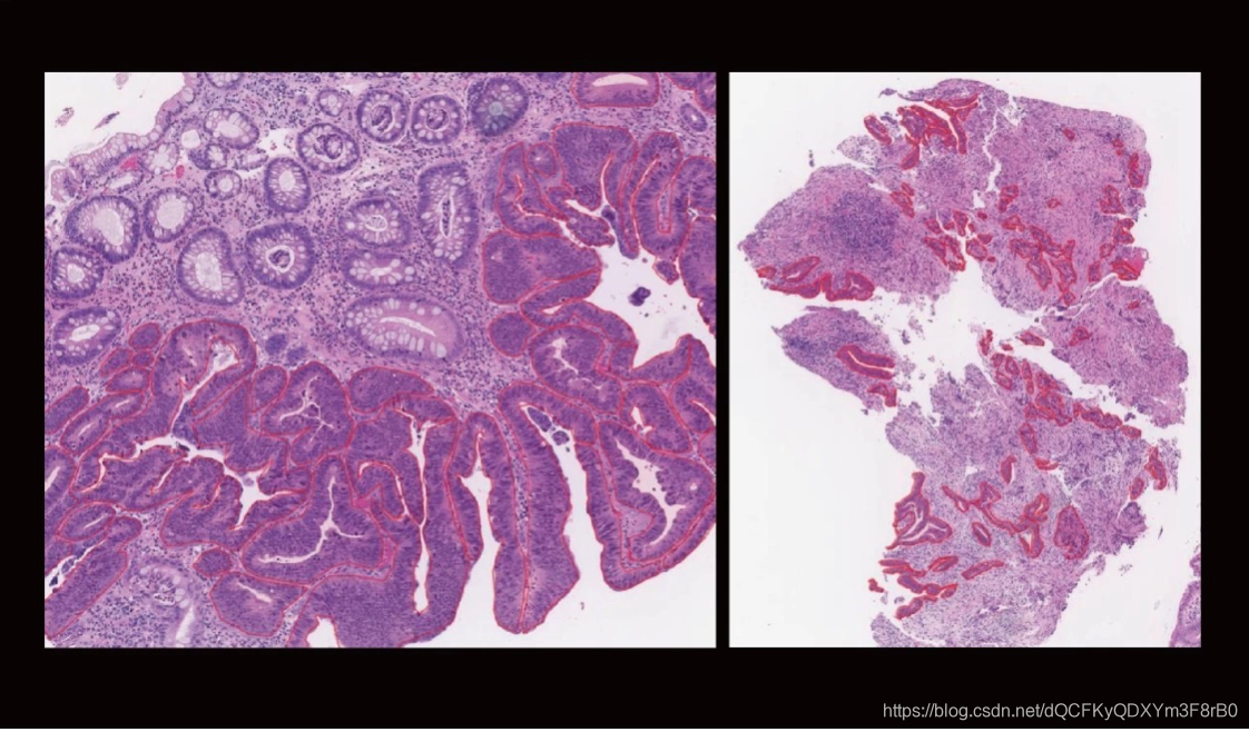
本次MICCAI 2019消化道病理图像检测与分割国际挑战赛将设置“印戒细胞检测”和“结肠镜组织分割和筛查”两项挑战任务,用以建立消化系统病理图像的细胞检测和活检组织分割筛查的算法和评估系统。这是目前世界上第一个针对印戒细胞检测和结肠镜组织筛查的挑战赛,同时也是第一个公开的消化系统病理图像数据集,本次大赛公开的数据集拥有大量专家的标注,印戒细胞检测数据集包含 90名患者的450张病理图像区域和15000个细胞标注,结肠镜组织分割和筛查数据集包含450名患者的750个病理图像区域和相应的恶性区域轮廓标注。这些数据集将极大的推进病理目标自动检测和病变分割的研究,并进一步发挥人工智能在辅助决策、优化病理诊断等数字病理领域的应用价值。
两大挑战赛中,各参赛队伍所提交的算法结果将分别由亚洲顶级人工智能研究机构、临床肿瘤治疗机构及病理诊断中心进行评估。商汤也承诺在本次挑战赛中所提供的测试服务器,也将于未来一直支持并保持开放测试,这意味着研究人员可在该服务器上不断提交并测试新的方法。
据了解,此次MICCAI 2019消化道病理图像检测与分割国际挑战赛及MICCAI 2019放疗规划自动结构勾画国际挑战赛,将分别在6月14日、15日发布训练数据集,各参赛队伍的提交截止日期分别为9月23日及25日,最终结果将于10月1日正式公布。参赛者可通过官网查询赛事详情,报名参赛。
MICCAI 2019消化道病理图像检测与分割国际挑战赛 官网:
https://digestpath2019.grand-challenge.org/Home/
MICCAI 2019放疗规划自动结构勾画国际挑战赛 官网:
https://structseg2019.grand-challenge.org/Home/
相关文章:

vue实战(1)——解决element-ui中upload组件使用多个时无法绑定对应的元素
解决element-ui中upload组件使用多个时无法绑定对应的元素 以前写的项目关于图片上传的都是单张或几张图片上传(主要是基于vue的element),图片路径都是固定写的,所以遇见过列表中多个上传图片的问题,先看下常用的形式 …

MVVM开发模式MVVM Light Toolkit中使用事件和参数传递
Light中定义了类GalaSoft.MvvmLight.Command.RelayCommand这个类继承了ICommand方法,实现了其中的方法,Action就是一个方法参数// 摘要: // A command whose sole purpose is to relay its functionality to other objects // by invoki…

harris角点检测与ncc匹配
转自:http://zixuanjinan.blog.163.com/blog/static/11543032620097510122831/ file1:-------------------------------------------------------------------------------------- function [y1,y2,r,c]harris(X)% 角点的检测,利用harris 算法% 输出的是…

CVPR 2019超全论文合集新鲜出炉!| 资源帖
整理 | 夕颜出品 | AI科技大本营(ID: rgznai100)实不相瞒,这是一个资源福利帖——CVPR 2019 接收论文超全合集!此前关于 CVPR 2019 论文和合集出过不少,但是这个可能是最全面最丰富的,链接奉上:…

ROS 用 roboware实现节点信息发送和接收
在ros下实现节点编程,实现一个节点发送消息,另一个节点接收。实现方式有多种,可以直接在命令窗口创建工作空间包以及节点,用catkin_make进行编译,添加.bash路径,然后执行rosrun package node_name 。这种…

javah生成JNI头文件
Administratoribm /cygdrive/z/workspace/com.example.hellojni.hellojni/src <---- 从此文件夹执行 javah *************** project root dir ******************* *** source dir *** javah -jni -classpath . com.example.hellojni.HelloJni*** package name *** ** c…

【码书】一本经典且内容全面算法书籍,学算法必备
之前推荐了好几本算法书,有《啊哈!算法》,有《算法图解》,有《漫画算法》,也有《我的第一本算法书》,很多粉丝不乐意了,觉得我推荐了这么多算法书籍,竟然没有经典算法书籍《算法导论…

Ubuntu16.04.1 安装Nginx
Nginx ("engine x") 是一个高性能的 HTTP 和 反向代理 服务器,也是一个 IMAP/POP3/SMTP 代理服务器。 Nginx 是由 Igor Sysoev 为俄罗斯访问量第二的 Rambler.ru 站点开发的,第一个公开版本0.1.0发布于2004年10月4日。其将源代码以类BSD许可证…

linux下jboss的安装配置
闲来无事突然间想到和tomcat相同的java容器jboss,就想测试一下jboss和tomcat性能的差异之处。但是之前只安装过tomcat,想来跟tomcat安装方式应该是相同的都需要jdk的支持。查找资料后进行了安装。一下是我安装jboss的一些步骤:Linux版本&…

RANSAC鲁棒参数估计
转自:http://blog.csdn.net/zhanglei8893/archive/2010/01/23/5249470.aspx RANSAC 是"RANdom SAmple Consensus"的缩写。该算法是用于从一组观测数据中估计数学模型参数的迭代方法,由Fischler and Bolles在1981 提出,它是一种非确…

AlphaGo之父DeepMind再出神作,PrediNet原理详解
作者 | beyondma转载自CSDN博客近期,DeepMind发表论文,称受Marta Garnelo和 Murray Shanahan的论文“Reconciling deep learning with symbolic artificial intelligence: representing objects and relations”启发,他们提出了一种新的架构…

php中file_get_contents如何读取大容量文件
php中file_get_contents如何读取大容量文件 一、总结 一句话总结:使用file_get_contents()进行分段读取,file_get_contents()函数可以分段读取 1、读取大文件是,file_get_contents()函数为什么会发生错误? 发生内存溢出而打开错误…

Vmware虚拟机的复制后无法使用的问题和解决
为什么80%的码农都做不了架构师?>>> 我在自己的机器上用Vmware安装的Ubuntu 12.04系统,并在里面部署了Openstack的开发环境,部署的过程有些复杂,不希望再次重复这个过程,于是就复制整个的虚拟机文件到其他…

Facebook频谱图模型生成比尔·盖茨声音,性能完胜WaveNet、MAESTRO
作者 | James Vincent 等编译 | 夕颜、Monanfei出品 | AI科技大本营(ID:rgznai100)计算机生成语音领域,正在酝酿着和一场革命。Facebook 工程师们设计创建的机器学习模型 MelNet 就是一个启示。下面这段听起来怪异的话像极了比尔盖茨是吧&…

数据表设计的原则
如何设计数据表: 三个范式 ER图

图像配准----Harris算子
Harris算子是C.Harris和M.J.Stephens在1988年提出的一种特征点提取算子。它用一阶偏导来描述亮度变化,这种算子受信号处理中自相关函数的启发,给出与自相关函数相联系的矩阵M。M矩阵的特征值是自相关函数的一阶曲率,如果两个曲率值都高&#…

关于ORA-01950: no privileges on tablespace 的解决
前天晚上,本想在家里搭一个公司项目的开发环境,以便在工作忙的时候做点“家庭作业”。下班之前,通过PLSQL Developer导数据库时,不知道什么原因,以.dmp格式导出时总不成功,于是选择以.sql格式导出ÿ…

继往开来!目标检测二十年技术综述
作者 | 周强来源 | 我爱计算机视觉(id:aicvml)计算机视觉中的目标检测,因其在真实世界的大量应用需求,比如自动驾驶、视频监控、机器人视觉等,而被研究学者广泛关注。几天前,arXiv新出一篇目标检…

python+selenium百度贴吧自动签到
#-*- coding:utf-8 -*- from selenium import webdriver import time import os import random from selenium.webdriver.common.action_chains import ActionChainsbrowser webdriver.Chrome()# 最大等待加载完的时间 max_loading 600 # 延时随机n秒执行 wait_time random.…

图像配准----NCC
在用Harris算子对图像进行角点提取后,两幅图像得到的角点个数不一定相等,这时就要先对它们进行处理,得出一一对应的角点对。 归一化互相关(Normalized Cross Correlation method, NCC)匹配算法是一种经典的统计匹配算法,通过计算模…

Ext Scheduler Web资源甘特图控件
原文来自 http://www.fanganwang.com/Product-detail-item-1430.html欢迎转载。 关键字: 资源甘特图又叫负荷图,其纵轴不再列出活动,而是列出整个部门或特定的资源。 Ext Scheduler资源甘特图是基于Extjs核心库的开发的,基于WEB浏…

50行代码教AI实现动作平衡 | 附完整代码
作者 | Mike Shi译者 | linstancy责编 | Jane出品 | AI科技大本营(id:rgznai100)【导读】本文将为大家展示如何通过 Numpy 库和 50行 Python 代码,使用标准的 OpenAI Gym平台创建智能体 (agent),就教会机器处理推车杆问…

图像配准----双向匹配
由Harris提取出的两幅图像的角点个数或对应关系并不是一一对应的。为了后续的配准,需要先对提取出的角点进行初始匹配,双向匹配方法是比较简单的一种方法,它实现容易。 设参考图像特征点集为X {x1, x2, …,xp}, p > 3;待配准图…
[专业亲测]Ubuntu16.04安装Nvidia显卡驱动(cuda)--解决你的所有困惑【转】
本文转载自: 因为要做毕设需要安装caffe2,配置cuda8.0,但是安装nvidia驱动真的是把我难倒了,看了很多篇博文都没有效果,现在我自己重新总结了下几种 安装方法(亲测有效),希望能帮到大…

IE下javascript的console方法
IE下javascript的console方法 FireFox 和 Chrome 下调试JS都有console,IE6下没有。特用此办法来兼容IE6. <br /><pre lang‘‘html‘‘> <!doctype html> <html> <head> <meta charset‘‘utf-8‘‘/> </head> <body&…

图像配准----RANSAC
对角点进行初始匹配后,所选定的角点并不能保证全部是正确的点,也可能有误点,因此,还需要进一步对所选定的角点进行精确匹配。 RANSAC(RANdom Sample And Consensus)方法是由Fischler和Bolles提出的一种鲁棒性的参数估计方法。它的…

教你用OpenCV实现机器学习最简单的k-NN算法
前言:OpenCV 的构建是为了提供计算机视觉的通用基础接口,现在已经成为经典和最优秀的计算机视觉和机器学习的综合算法工具集。作为一个开源项目,研究者、商业用户和政府部门都可以轻松利用和修改现成的代码。k-NN算法可以认为是最简单的机器学…

div 相同属性提取
把样式名或id写在一起,用逗号隔开 <!DOCTYPE html><html lang"en"><head> <meta charset"UTF-8"> <title>信息详情</title> <style type"text/css"> #box-1, #box-2, #box…

ehcache 简介
hCache 是一个纯Java的进程内缓存框架,具有快速、精干等特点,是Hibernate中默认的CacheProvider。 下图是 Ehcache 在应用程序中的位置: ehcache部署起来很简单,主要分两步: 1.首先要给他写个核心配置XML文件 <ehca…

【leetcode】30. Substring with Concatenation of All Words
题目如下: 解题思路:本题题干中有一个非常关键的前提,就是words中的所有word的长度一样,并且都要被使用到。所以,我们可以把输入的s按word的长度进行等分,以s "barfoothefoobarman",words [&qu…