阿里AI攻克心血管识别技术,冠脉中心线提取论文入选国际医学影像会议
阿里在医疗AI领域取得新进展,继创下肺结节检测、肝结节诊断技术的重大突破后,又攻克了难度系数更高的心血管识别技术。
近日,阿里达摩院机器智能实验室有关冠状动脉中心线提取的论文已被国际顶级医学影像会议MICCAI 2019提前接收。

从CTA影像中准确提取心脏冠脉中心线是冠心病诊断的必备条件,也是诊断流程中耗时最多的一环。心脏冠脉几何特性复杂、血管特别细小,容易受到形态相似的静脉血管的干扰。如果出现血管阻塞,还有可能无法提取整根血管。
传统的心脏冠脉中心线提取方法大多存在人工交互多、耗时长等缺点。阿里巴巴提出了判别式冠脉追踪模型。这一模型由三维卷积神经网络构成,充分利用三维空间特征,可从影像中迭代搜索完整血管,且正确区分冠脉与静脉。
在学习了数十万个训练样本后,阿里AI无需人工交互,仅用0.5秒就能提取单根冠脉血管,提取完整冠脉树用时不超过20秒,相比传统方法效率提升近百倍。传统算法需要处理整个影像,阿里AI则能自动忽略冗余信息,大大提高效率。

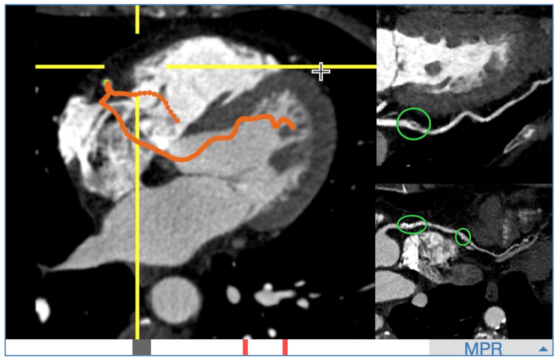
阿里AI在0.5秒内全自动提取的单根心脏冠脉,医生可从重建的影像上快速发现病灶。右上为血管上的软斑块,右下为钙化斑块。
心血管疾病是世界上致死率最高的人类疾病。心血管疾病诊断的复杂性,导致AI医学影像识别在该领域应用极少。阿里AI能帮医生提升诊疗效率,提高冠心病接诊量。AI辅助医生进行心血管疾病诊断的未来近在咫尺。
近年来,阿里达摩院视觉计算团队在医疗AI领域屡有重大突破。2017年,阿里AI打破了国际AI检测肺结节准确度的世界纪录,这项技术已累计让近1000万体检客户受益。2018年,阿里AI诊断肝结节技术获两项世界第一,目前正继续研究能否判断肝癌。
相关文章:

自由程序员在国外
可靠的做法是,在一些像oDesk这样的网站上找一些临时开发任务,在Linked In网站上提交一份个人简历。这样将有助于你在出行后尽早的找到可干的项目,而不必到时大减价来抢其他程序员的活儿(或消减自己的预算)。 从来不缺乏你可以捐赠代码的开源项…

关于spring aop Advisor排序问题
关于spring aop Advisor排序问题 当我们使用多个Advisor的时候有时候需要排序,这时候可以用注解org.springframework.core.annotation.Order或者实现org.springframework.core.Ordered接口。 示例代码: import org.aspectj.lang.ProceedingJoinPoint; im…

NLP重大突破?一文读懂XLNet“屠榜”背后的原理
作者 | 李理 原文链接:https://fancyerii.github.io/2019/06/30/xlnet-theory/ 本文介绍XLNet的基本原理,读者阅读前需要了解BERT等相关模型,不熟悉的读者建议学习BERT课程。 语言模型和BERT各自的优缺点 在论文里作者使用了一些术语&#…

CSS3支持IE6, 7, and 8的边框属性
我们都知道,IE 6,7不支持新增加的CSS3属性,甚至与IE8是CSS3还没有完全准备好。你知道吗,今天给大家分享一个脚本工具,可以帮助您启用CSS3的支持IE浏览器(IE6)与新的CSS3属性,包括:bo…

解决:VS 2005/2008 中 fstream 不能处理带有中文路径的问题
转自:http://blog.csdn.net/code_robot/archive/2010/06/23/5688867.aspx 有时候用ifstream或ofstream打开带有中文路径的文件会失败。 解决办法:1、使用C语言的函数设置为中文运行环境setlocale(LC_ALL,"Chinese-simplified"); 2、使用STL函…

NLP文本标注工具与平台(数据标注公司)
最近在做NLP相关项目,包括句法分析、情感分析等,有大量数据需要标注。我评估了几个文本标注工具,也接触了几家数据标注公司和平台,总结如下,供各位参考。 文本标注平台(标注外包公司) 数据标注公…

一文读懂基于神经网络的图片风格转移
作者 | moliam转载自 CSDN 博客前言将A图片的风格转移到B图片上,指的是将A图片的抽象艺术风格(如线条、色彩等等)和B图片的内容框架合成为一幅图。自然地,A图片称为风格图,而B图片就称为内容图。就像这样:左…
【物联网中间件平台-01】真正面向物联网的组态软件 YFIOs和YFHMI的前生今世
1前言 从2001年进入工控领域以来,前后7年多的时间开发了诸如二型计量监控系统、焦炉四大机车自动化系统、烧结配水监控系统、隧道广告影像系统、通用组态软件、嵌入式系统组态软件(基于WINCE系统)、LED视频影像系统和ICU病室输液管理等系统。…

OpenCV常遇问题解决方法汇总
1、cvLoad的使用和释放: CvMat *mat (CvMat*)cvLoad("a.xml"); cvRelease((void**)&mat); 2、cvCreateMatHeader的使用和释放: CvMat *mat cvCreateMatHeader(4, 2, CV_64FC1); cvReleaseMatHeader(&mat); 在OpenCV2.1及OpenCV2.2中…

分享我如何在7年时间里成长为阿里Java架构师(附学习路线图)
2019独角兽企业重金招聘Python工程师标准>>> 如何更高效的学习? 1.架构师应不应该写代码 总的来说,架构师和程序员在某些方面上有点像产品经理和用户的关系,大部分程序员并不会主动告诉你他们想要什么、哪里需要优化,甚…

github 与git 使用 及配置
git 是网上很流行的版本控制工具 ,尝试 熟悉并使用 它(也有windows版本,这里介绍mac的) 额,再操作前 先看看这个 并跟着做做 http://www.uml.org.cn/pzgl/201204285.asp 1,到github官网 申请账号 2,…

如何发布ActiveX 控件
转自:http://blog.csdn.net/zougangx/archive/2008/07/30/2738147.aspx [背景] 做过ActiveX控件的朋友都知道,要想把自己做的ActiveX控件功能放在自己的网页上使用,那么用户在客户端就必须进行本地的注册,也就是说用户得首先要把该…

200行代码实现一个滑动验证码
作者 | 崔庆才 转载自进击的Coder(ID: FightingCoder)做网络爬虫的同学肯定见过各种各样的验证码,比较高级的有滑动、点选等样式,看起来好像挺复杂的,但实际上它们的核心原理还是还是很清晰的,本文章大致说…

Envoy源码分析之Dispatcher
2019独角兽企业重金招聘Python工程师标准>>> 摘要: Dispatcher 在Envoy的代码中Dispatcher是随处可见的,可以说在Envoy中有着举足轻重的地位,一个Dispatcher就是一个EventLoop,其承担了任务队列、网络事件处理、定时器…

Windows 8 快捷键大全
为什么80%的码农都做不了架构师?>>> win8快捷键大全: Windows 键 X :Windows快捷菜单 Windows 键 C :显示个性分类和时钟 Windows 键 I :打开“设置”个性分类 Windows 键 K :打开“设备”…

Activex、OLE、COM、OCX、DLL之间区别、联系
转自:http://baike.baidu.com/view/393671.htm 概述 .ocx是ocx控件的扩展名,与.exe .dll同属于PE文件。下面说说什么是ocx控件! OCX 是对象类别扩充组件。 如果你用过Visual Basic或者Delphi一类的可视化编程工具,那么对控件这个概念一定不会陌生&#…

不写一行代码,也能玩转Kaggle竞赛?
整理 | Jane 出品 | AI科技大本营(ID:rgznai100)【导读】AI科技大本营会给大家分享一些 Kaggle 上的资源,如 Kaggle 开放的数据集,也会分享一些好的竞赛方案或有意义的竞赛经验,帮助大家成长。今天…

认识flask框架-2
1.json:基于键值对的字符串,轻量级的数据交互格式,用来传输数据 2.json模块 dumps:把字典转化成json字符串。 loads:把json字符串转成字典。 dump、load操作的是文件对象。 jsonify可以返回json字符串,会修改响应的类型为applicat…

Sencha-概念-Layouts(布局)(官网文档翻译8)
Sencha-概念-Layouts(布局)(官网文档翻译8) 介绍和HBox 布局描述了在您的应用程序的组件的大小和位置。例如,一个电子邮件客户端可能具有固定到左边的消息的列表,以说,可用的宽度的三分之一,和一个消息观看…

Photoshop图像处理操作汇总
1、给图像添加外边框,保持图像原有大小: 点击图层-->新建-->图层,弹出新图层对话框,点击确定,点按"Ctrl A”键将图像全部选中,再点击编辑>描边,弹出描边对话框,在宽…

人工智能进军餐饮:AI调酒,越喝越有
作者 | 神经小姐姐来源 | 转载自HyperAI超神经(ID:HyperAI)导读:“吃”,现在已经成了一种文化,对食物的不懈追求,可以说是人类历史的一种推动力。从烹饪的进化,到现在花样百出的美食,…

LaTeX - 带圈数字
2019独角兽企业重金招聘Python工程师标准>>> 法I. by zepinglee \documentclass[UTF8]{ctexart} \XeTeXcharclass①1 \XeTeXcharclass②1 \XeTeXcharclass③1 \XeTeXcharclass④1 \XeTeXcharclass⑤1 \XeTeXcharclass⑥1 \XeTeXcharclass⑦1 \XeTeXcharclass⑧1 \Xe…

akcms折腾记
这几天闲着无聊,找cms折腾一下,先是搞了大名鼎鼎的dedecms,不过那繁琐真不是盖的,想修改个模板不知从哪里动手。虽然现在工作的后台也是由dedecms改过来的,但平时也就发发文章而已。 然后就找到了这个神器:…

VC++ OCX 控件注册
转自:http://www.cctry.com/thread-5334-1-1.html 方法一:在dos或Windows命令行下运行:regsvr32 ocxname.ocx 注册 示例: regsvr32 netshare.ocx //注册netshare.ocx控件 regsvr32 /u netshare.ocx //解除netshare.ocx控件…

程序猿生存指南-4 借钱风波
借钱风波(10)临近春节,我的朋友圈被各个公司的年终奖刷屏。土豪互联网公司有送现金的,有送豪车的,还有送别墅的。它们享受着移动互联网的红利,赚得盆满钵满。不过翻看公司请媒体写的那些报道,就…

赛灵思:人工智能芯片发展方向与误区
演讲嘉宾 | 姚颂,赛灵思人工智能业务资深总监整理 | 夕颜人工智能发展过程中,算力是一个重要的因素,算力就像是 AI 的燃油,没有燃油,AI 哪也去不了。而为 AI 应用提供算力的,正是各种各样的芯片。而近几年&…

Python 多线程抓取网页 牛人 use raw socket implement http request great
Python 多线程抓取网页 - 糖拌咸鱼 - 博客园Python 多线程抓取网页最近,一直在做网络爬虫相关的东西。 看了一下开源C写的larbin爬虫,仔细阅读了里面的设计思想和一些关键技术的实现。1、larbin的URL去重用的很高效的bloom filter算法; 2、DN…

从特斯拉到英伟达,那些端到端自动驾驶研发系统有何不同?
作者 | 黄浴,奇点首席科学家兼总裁来源 | 转载自知乎专栏自动驾驶与视觉感知导读:近日,吴恩达的 Drive.ai 被苹果收购的消息给了自动驾驶领域一记警钟,但这个领域的进展和成果犹在。本文将介绍一些端到端的自动驾驶研发系统&#…

vc6中进行多行注释和反注释的方法
1、利用工具中自带的按钮实现: Tools-->Customize-->Add-ins and Macro Files-->将SAMPLE项选中-->Commands-->Category中选择Macros-->在Commands中将CommentOut拖到工具栏,再选中一个Images,点击OK即可。 这种方法是使…

一看就懂!【英雄联盟锐雯】与 Python 详解设计模式之门面模式
【网络配图】设计模式(Design Pattern)是一套被反复使用、多数人知晓的、经过分类的、代码设计经验的总结。使用设计模式的目的:为了代码可重用性、让代码更容易被他人理解、保证代码可靠性。设计模式使代码编写真正工程化;设计模…