AI 医疗公司“战疫”在前线
作者 | Just
来源 | CSDN(CSDNnews)
紧急驰援疫区,涉足AI+医疗领域的公司也出动了。
截止到2月6日,随着新冠病毒肺炎疫情的不断发展,全国累计已有31161例确诊病例,26359例疑似病例。不过,由于医疗资源高度短缺,尤其核心疫区的快速诊疗能力出现结构性缺失。
而借助AI技术可以高效的辅助当前新冠肺炎病例的大规模筛查和诊疗,有助于及时发现潜在患者,加强防控。
此前,阿里、百度等科技巨头就率先投入到了AI技术防疫的战斗中。针对新型冠状病毒的AI诊断技术,阿里达摩院研发了AI算法,可将原来数小时的疑似病例基因分析缩短至半小时,大幅缩短确诊时间,并能精准检测出病毒的变异情况。而百度则免费开放线性时间算法LinearFold以及RNA构预测网站,以提升新型冠状病毒RNA空间结构预测速度。
与此同时,商汤、依图、推想等AI创新创业公司的技术驰援身影也不容忽视。
2月4日,工信部向人工智能相关学(协)会、联盟、企事业单位发出倡议:充分发挥人工智能赋能效用,协力抗击新型冠状病毒感染的肺炎疫情。但实际上,诸多瞄准AI+医疗市场的AI公司更早之前就基于一线医院需求提供了辅助医生的AI解决方案。
疫情发生以来,这些AI+医疗领域公司的研发部门多加班加点,连续征战数夜,在很短的时间内紧急推出相应解决方案,并保持快速迭代,在一线医疗机构紧急上线。
医疗作为AI技术的一大潜力应用场景,应对新冠肺炎也成为检验AI技术应用落地的一大契机。
旷视科技
连续奋战十天,推出AI测温系统
人体测温是判断个人是否感染新冠肺炎的一大指标。在人流密集的公共场所,测温仪器如何做到“无接触感应”、“高效率通行”、“高温智能预警”是关键。
疫情发生后,旷视科技响应相关需求调集近百人研发团队,对发热人员筛查系统需求、解决方案功能规划、接口方案、测试联调、供应链整合等问题进行深入讨论和沟通。最终,经过十天连夜奋战,基于落地场景需求,旷视研发团队提出“人体识别+人像识别+红外/可见光双传感”的创新解决方案,通过前端红外相机鉴别人流中的高温人员,再根据疑似发烧者的人体、人脸信息,通过 AI 技术,可以辅助各类公共场所等高密度人员流动场景下的工作人员快速筛查体温异常者,解决疫情平稳后在开放场所的通行效率与可控度。
根据旷视方面的说法,相比人工近距离检测手段和传统的发热筛查系统,旷视将研发重点放在对远距离的测温精度以及高密度人流量的可用性上。
首先旷视针对戴口罩遮挡进行了专项模型优化,即便在口罩和帽子大面积遮挡人脸的情况下,系统也能帮助工作人员快速筛查通行人群,识别误差 ±0.3℃,大众无需摘下防护也无需排队聚集,大大提升公共空间的安全性和检测效率。
系统另外的一大特点是可支持大于 3 米的非接触远距离测温,一旦有疑似发热人员出现就会自动报警。结合旷视自研的人体 ReID 检测检索技术,系统可以帮助工作人员快速筛查发热人员位置线索,以进行进一步的确认检测和医学观察。
旷视研发人员表示,此系统的智能疑似高热报警带宽可达到每秒 15 人,且一套系统可以部署 16 个通道,基本保证一个地铁口管控。这样一来,人流量较大的通道在 AI 系统的辅助下,仅需 1 名工作人员就能够管控现场,大大降低一线工作人员被感染的风险。
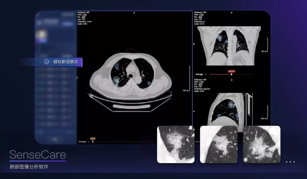
商汤科技
覆盖新冠肺炎筛查、诊疗和研究的三大AI方案
公众场所的防疫工作中,测温环节是前期判断人员是否可能感染新冠肺炎的重点。
为此,商汤科技利用人脸识别算法和热成像智能测温技术,在最短时间内迅速推出了“AI智慧防疫解决方案”,主要包含区域通行模块和出入口通行模块,可实现对人员体温、口罩佩戴以及人员身份等多个方面的识别和管理,并能将实时信息统一展现及存档。
同时,基于已有的SenseCare智慧诊疗平台,商汤针对新冠肺炎进行快速升级,驰援多地医院及合作医疗机构。
通过AI对疑似患者肺部CT影像进行病灶的自动检出、定位、弥漫性程度的多维分析并生成自动报告,帮助医护人员快速筛查疑似新冠病例并进行隔离与进一步确诊,从而减少交叉感染风险,同时产品的随访功能还可帮助医生对患者的治疗效果进行精准量化评估,用AI为一线医务工作者提供有迹可循、有据可依的智能辅助。
此外,为了更好应对未来变异病毒,弥补小分子药物容易产生耐药性等问题,商汤智慧健康团队基于在AI药理、AI基因分析方面的长期研究积累,已经与至本医疗等多家专业医疗机构、科研高校强强联合,针对“新冠”生物大分子治疗方案进行相关研究,希望提供更多治疗方法和治疗手段,解决病毒对单一药物的耐药性问题、提升对病毒变异的抵抗能力,达到抗击病毒、防止感染人群进一步扩散目的。
依图科技
新冠肺炎智能影像评价系统,3秒内完成定量分析
根据卫健委《新型冠状病毒感染的肺炎诊疗方案(试行第四版)》对于疑似病例的诊断标准,肺炎影像学特征为其中一项重要诊断及病情评估指标。
也许是为了像增强产品的说服力,相比其他公司发布的新闻稿,依图在其官网推送的新冠肺炎智能评价系统内容直接发布的是其产品使用者上海市公共卫生临床中心发布的内容。
据称,依图医疗开发的新型冠状病毒性肺炎智能影像评价系统通过图像算法实现了对新型冠状病毒性肺炎CT影像的智能化诊断与定量评价,并对局部性病灶、弥漫性病变、全肺受累的各类肺炎疾病严重程度进行分级;通过对病灶的形态、范围、密度等关键影像特征定量和组学分析,精确测算疾病累计的肺炎负荷,实现对CT的全肺病变动态4D对比,有助于临床判断病情,评估疗效,预测预后。
对于新型冠状病毒性肺炎严重程度的分级及疗效评价是临床关注的重点。采用病灶定量评价的方法,涉及到病变累计的肺体积范围、密度等多因素,目前缺乏统一标准,以往采用传统手工勾画ROI的方法进行量化的评估,往往需要5-6小时,效率低,临床推广难,而利用依图的AI系统能够实现病变区域的自动检测,在2-3秒之内就能完成定量分析,极大提升精准定量分析的效率。
上海市公共卫生临床中心指出,通过将AI系统与该院医生七十多例新冠肺炎病例的病情评估结果相比较,发现该系统的定量分析与医生的评价结果相似(相关性研究中 R=0.87, p<0.001),显示出高稳定性的诊断质量。
此外,为方便民众获取权威疫情防控知识,帮助及时鉴别疑似病例,依图还上线了“新冠状肺炎小依医生”,可对新冠肺炎科普知识的智能查询、疑似患者的智能问诊及导诊等服务。
推想科技
首发肺炎AI特别版,具备三大能力
推想科技同样推出了新型冠状病毒肺炎的AI系统。
他们提出了了肺炎AI特别版的三大能力:影像科医生+AI能够在特殊时期快速响应并给出诊断报告,排查筛选“高度疑似肺炎患者”,减少患者的排队时间和院内交叉感染的风险;通过CT+AI的方式,则可以协助加速基层医疗机构地点辨别感染者,为快速隔离、诊断、治疗争取时间;CT+AI具有更好的可操作性,可以快速、直接对无症状感染者和早期患者进行排查鉴别,对于从根本上歼灭疫情是一个有效的保障。
推想AI的智能化处理,诸如肺内感染病灶检出,分析异常病例和重症病例,有序化分级治疗,协调医疗资源;全自动前后片对比和疗效评估等功能,帮助医生更快速准确完成治疗评估,为超负荷工作的医生节省精力和时间。
推想肺炎AI特别版已经在本次疫情中心城市武汉等全国各地投入使用。随着推想AI在临床上的深入使用,CT检查+AI辅助诊断的筛查工具,推想通过实战病例提出了其在临床诊疗中的一些发现:
CT预测早于RT-PCR结果,推想AI预测高危预警,且与最后确诊结果一致;
前后片对比,病变范围较前片没有明显改变,但病变密度均较前片有明显增加,提示病变有进展,推想AI预测结果与临床症状吻合,患者最后转院进行隔离治疗;
推想AI肺炎特别版从病灶多个维度,为临床提供精确的定量分析工具,精准判断病程转归。
深睿医疗
新冠肺炎增强版AI系统,输出结构化报告
由于需要支持新型冠状病毒肺炎的影像初筛,深睿医疗收到了合作方上海电气/康达医疗急需两套Dr.Wise®全肺AI医学辅助诊断系统并同CT一起发往湖北的需求。
在Dr.Wise®全肺AI医学辅助诊断系统的基础上,结合本次新型冠状病毒感染肺炎的影像学表现,深睿医疗推出Dr.Wise®肺部疾病智能解决方案(新冠肺炎增强版)针对不同类型肺炎的各种征象进行快速检测,同时强化新冠肺炎相似征象的检出,尤其针对局限性或多发,胸膜下及双肺野中外带,斑片影、磨玻璃影、网格影、条索影等征象具有很高的检出率。
同时对于各种肺炎征象进行智能分类,对于实变和磨玻璃影进行定量分析,辅助医生判断肺炎分期及轻重程度,提供可疑肺炎疾病预警提示,最终为医生提供符合最新型冠状病毒指南的结构化图文报告。
此外,Dr.Wise®肺部疾病智能解决方案(新冠肺炎增强版)提供全流程的诊疗管理,包括定位、定量分析、肺部CT炎症的多时点随访,标准结构化报告等,辅助医生大幅提升诊断效率,同时提高诊断准确性。无论是影像疑似病例确认为影像诊断病例,还是转归期患者确诊,多次CT复查随访都必不可少。
“肺部疾病智能随访系统”可以针对同一患者的随访检查进行智能分析,对比病灶的变化情况,辅助医生对病情进展进行准确判断。
联影智能
智能天眼CT加持,减少医患接触
在传统扫描中,放射科医生在体位选择、完成患者摆位、确定扫描范围等多环节上都需和患者密切接触。而在这个特殊时期,如何减少医生与疑似患者的近距离接触完成扫描?
联影智能拟将uAI Vision“智能之眼”搭载于医学影像设备,实时完成360°人体全动态捕捉、自动生成3D人像,实现“一键智能”扫描。uAI Vision可智能识别患者年龄、身高、体型等信息,向医生精准推送扫描所需参数。自动识别病人摆位,实时远程“遥控”扫描设备,自动移至需拍摄部位,实现隔室操作,最大程度地隔离医生与患者,大幅减轻扫描工作量。
搭载天眼的联影“智能天眼CT”可实现智能定位、精准识别。其自动监控系统可通过人脸检测功能,确认患者胸部的扫描范围,实现自动摆位,减少医生与患者的接触。同时,在人脸检测初步定位到胸部区域后,天眼CT可快速扫描超低剂量的CT定位像(topogram),并通过分割技术自动提取定位像中肺部的位置,以此精准确定扫描范围,从而减少扫描过程中不必要的辐射量。
新型冠状病毒肺炎胸部CT影像(左)与肺炎感染区域的分割图像(右)
此外,联影智能正在与部分防疫医院展开合作,使用uAI独创分割算法辅助诊断与量化新型冠状病毒肺炎。该技术可从CT影像中检测患者肺部是否有疑似感染新型冠状病毒区域,且精准分割该区域,对其体积和性质成分进行量化分析并生成报告,为早期肺炎诊断提供精准量化依据,协助医生快速辨别、诊断新型冠状病毒感染者。
结语
总体来看,AI在防疫中的影像初筛环节能发挥重要作用。而受限于时间问题,各大公司都忙于产品迭代,目前关于“AI医生”系统的具体准确性指标上还未有详细数据公布。
挑战固然有之,但这次“战疫”对AI+医疗行业发展也是机遇。
像人类医生那样,在疫情解除过后自身会积累相应医疗经验。我们也希望,AI公司在此次防疫中投入的技术方案在日后也能沉淀经验。在更大维度上,不止应对新冠肺炎,希望AI未来能在医疗的其他应用场景中发挥更大的效力,推动人类社会发展。
◆
公开课推荐
◆
主题:《字节跳动的远程办公实践——字节跳动五万人在家办公背后的故事》
直播时间:今晚8点
报名&直播请扫码查看
此次公开课,会把字节跳动过往在业务增长及企业管理中的最佳实践提炼汇总分享,帮助更多科技互联网及传统企业,充分认知认可远程协作的理念、更好掌握远程协作的实操方法、了解效率工具对企业的价值,借此对企业高效经营、行业精益转型.
欢迎邀请小伙伴一起听课~~
推荐阅读
程序员拯救乐坛?OpenAI用“逆天”GPT2.0搞了个AI音乐生成器
AAAI 2020论文解读:商汤科技提出新弱监督目标检测框架
“瘟疫”笼罩下的物联网危与机
GitHub 标星 14000+,阿里开源的 SEATA 如何应用到极致?
10 大趋势带你预见 DeFi 2020!
JavaScript 造就年薪超过 10 万美元的开发者们!
你点的每个“在看”,我都认真当成了AI
相关文章:
动态执行流程分析和性能瓶颈分析的利器——valgrind的callgrind
在《内存、性能问题分析的利器——valgrind》一文中我们简单介绍了下valgrind工具集,本文将使用callgrind工具进行动态执行流程分析和性能瓶颈分析。(转载请指明出于breaksoftware的csdn博客) 之前的《利器》系列中,我们介绍了两种…

CentOS6.3编译安装Nginx1.4.7 + MySQL5.5.25a + PHP5.3.28
2019独角兽企业重金招聘Python工程师标准>>> 【准备工作】 01 #在编译安装lnmp之前,首先先卸载已存在的rpm包。 02 rpm -e httpd 03 rpm -e mysql 04 rpm -e php 05 06 yum -y remove httpd 07 yum -y remove mysql-server mysql 08 yum -y remove php 0…
GitHub标星14000+,阿里开源的SEATA如何应用到极致?
作者简介:袁鸣凯,家乐福技术总监, 高知特有限技术公司中国区架构师,HP上海研发技术专家,夸客金融首席架构师,现任家乐福中国区技术总监。多年互联网、企业级SOA、微服务、全渠道中台方面的架构设计实战经验…

C++拾趣——有趣的操作符重载
操作符重载是C语言中一个非常有用的特性。它可以让我们比较优雅的简化代码,从而更加方便的编写逻辑。 为什么要使用操作符重载一种常见的用法是重载<<运算符,让标准输出可以输出自定义的类型。比如 #include <iostream>class Sample {friend…

urlparse模块(专门用来解析URL格式)
# -*- coding: utf-8 -*- #python 27 #xiaodeng #urlparse模块(专门用来解析URL格式)#URL格式: #protocol ://hostname[:port] / path / [;parameters][?query]#fragment #parameters:特殊参数,一般用的很少。#1、url…
使用Boost的Serialization库序列化STL标准容器
使用Boost做对象序列化是非常方便的,本文将介绍一种序列化STL标准容器的方法。这是之前设计的异步框架的一个子功能:过程A将标准容器数据序列化成二进制流,然后将该二进制数据发送到过程B,过程B将数据反序列化为标准容器。&#x…
连登GitHub TOP榜,中国开发者在行动!
作者 | 唐小引数据 | 于瑞洋出品 | AI科技大本营(ID:rgznai100)中国开发者正在走向世界中文开源项目正在不断登上 GitHub TOP 榜不久前,一个名叫「wuhan2020」的开源项目进入了 GitHub Trending TOP 榜,截至到现在,已经…

Merge into的使用
用途 merge 命令可以用来用一个表中的数据来修改或者插入到另一个表。插入或者修改的操作取决于on子句的条件。该语句可以在同一语句中执行两步操作,可以减少执行多条insert 和update语句。merge是一个确定性的语句,即不会在同一条merge语句中去对同一条…

PHP和MySQL Web开发从新手到高手,第8天-创建categories管理页面
1. 创建categories管理页面 主要包含以下几个页面: A. index.php, 准备各种变量数据.供展示页面使用. B. categories.html.php, 显示categories. C. form.html.php, 用于编缉或添加作者的页面. 页面郊果: 2. categories页面的主要流程 2.1 是否已登录 if (!user_is_login()){in…

堆状态分析的利器——valgrind的DHAT
在《堆问题分析的利器——valgrind的massif》一文中,我们介绍了如何使用massif查看和分析堆分配/释放的问题。但是除了申请和释放,堆空间还有其他问题,比如堆空间的使用率、使用周期等。通过分析这些问题,我们可以对程序代码进行优…

cisco2950交换机密码恢复
在实际工作中可能会忘记交换机密码,导致不能对交换机进行配置的情况。cisco提供了密码恢复的方法。以下是关于交换机密码恢复说明:如果忘记密码,这时我们如果要配置交换机就必须在启动时绕过config.text的配置【密码保存在config.text中】然后…
程序员SQL都不会?能干啥?资深研发:别再瞎努力了!
国外有人曾做过调查显示:“SQL的使用人数仅次于JavaScript”。更有统计,世界上一流的互联网公司中,排名前 20 的有 80% 都是 MySQL 的忠实用户。为什么这项技术仍有这么多人在用?又为什么值得我们学习?1、无论你是前端…

OC管理文件方法
1、常见的NSFileManager文件方法 -(NSData *)contentsAtPath:path //从一个文件读取数据 -(BOOL)createFileAtPath: path contents:(NSData *)data attributes:attr //向一个文件写入数据 -(BOOL)removeItemAtPath:path error:err //删除一个文件 -(BOOL)moveItemAtPa…
堆状态分析的利器——gperftools的Heap Profiler
在《内存泄漏分析的利器——gperftools的Heap Checker》一文中,我们介绍了如何使用gperftools分析内存泄漏。本文将介绍其另一个强大的工具——Heap Profiler去分析堆的变化过程。(转载请指明出于breaksoftware的csdn博客) 我们使用类似于《堆…

亲戚称呼关系表
直系血亲父系曾曾祖父--曾祖父--祖父--父亲曾曾祖母--曾祖母--祖母--父亲母系曾曾外祖父--曾外祖父--外祖父--母亲曾曾外祖母--曾外祖母--外祖母--母亲儿子:夫妻间男性的第一子代。女儿:夫妻间女性的第一子代。孙:夫妻间的第二子代࿰…
技术驰援抗疫一线, Python 线上峰会免费学!
截至截止2月9号24时,新型冠状病毒在全国已确诊42714例,疑似病例已达21675例。而专家所说的“拐点”始终未至,受疫的影响,各大公司开启远程办公模式,将返回工作场所办公的时间一延再延。在抗疫前线,中国医疗…

ZeroMq实现跨线程通信
ZeroMq实现跨线程通信 之前在技术崇拜的技术经理指导下阅读了ZeroMq的基础代码,现在就将阅读的心得与成果记录一下,并重新模仿实现了一下经理的异步队列。 1、对外接口 //主要接口(1)void *ymq_attach (void *ctx_, int oid, voi…
动态执行流程分析和性能瓶颈分析的利器——gperftools的Cpu Profiler
在《动态执行流程分析和性能瓶颈分析的利器——valgrind的callgrind》中,我们领略了valgrind对流程和性能瓶颈分析的强大能力。本文将介绍拥有相似能力的gperftools的Cpu Profiler。(转载请指明出于breaksoftware的csdn博客) 我们依然以callg…

C语言内存管理内幕(二)----半自动内存管理策略
2019独角兽企业重金招聘Python工程师标准>>> C语言内存管理内幕(二)----半自动内存管理策略 转载于:https://my.oschina.net/hengcai001/blog/466
无人机巡逻喊话、疫情排查、送药消毒,抗疫战中机器人化身钢铁战士!
整理 | 夕颜责编 | Carol出品 | CSDN(ID:CSDNnews)这场抗疫战争似乎格外漫长,但回头细数一下才发现,自疫情爆发以来,也不过半月之久。在接下来的几个半月中,抗疫战仍将继续,各方力量也要绷紧神经…

jQuery EasyUI 表单插件 - Datebox 日期框
为什么80%的码农都做不了架构师?>>> 扩展自 $.fn.combo.defaults。通过 $.fn.datebox.defaults 重写默认的 defaults。 日期框(datebox)把可编辑的文本框和下拉日历面板结合起来,用户可以从下拉日历面板中选择日期。在…

互斥量、读写锁长占时分析的利器——valgrind的DRD
在进行多线程编程时,我们可能会存在同时操作(读、写)同一份内存的可能性。为了保证数据的正确性,我们往往会使用互斥量、读写锁等同步方法。(转载请指明出于breaksoftware的csdn博客) 互斥量的用法如下 pth…

一次性同步修改多台linux服务器的密码
如何一次性修改多台linux服务器的密码,这是个问题,我给大家提供一个脚本,是前一段我刚刚写的,希望能对大家有所帮助一 , 需求:linux环境下运行,需要tcl和expect支持原理说明:利用expect的摸拟交互的功能&…
麻省理工学院的新系统TextFooler, 可以欺骗Google的自然语言处理系统及Google Home的音频...
来源 | news.mit编译 | 武明利责编 | Carol出品 | AI科技大本营(ID:rgznai100)两年前,Google的AI还不太成熟。一段时间以来,有一部分计算机科学研究一直致力于更好地理解机器学习模型如何处理这些“对抗性”攻击,这些攻…

Oracle VS DB2 数据类型
Oracle VS DB2 本文转自:http://www.bitscn.com/oracle/install/200604/16541.html首先,通过下表介绍ORACLE与DB2/400数据类型之间的对应关系,是一对多的关系,具体采用哪种对应关系,应具体问题具体分析。 OracleDB2/40…

死锁问题分析的利器——valgrind的DRD和Helgrind
在《DllMain中不当操作导致死锁问题的分析--死锁介绍》一文中,我们介绍了死锁产生的原因。一般来说,如果我们对线程同步技术掌握不牢,或者同步方案混乱,极容易导致死锁。本文我们将介绍如何使用valgrind排查死锁问题。(…
疫情可视化,基于知识图谱的AI“战疫”平台如何做?
来源 | DataExa渊亭科技武汉封城半个月,疫情依然严峻。但与17年前的SARS相比,我国在此次疫情防控工作中展现出了更高的医疗救治水平、更快的防疫反应速度、更透明的信息披露机制、更迅速的数据报送机制。在这场没有硝烟的战役中,社会各界团结…

mysql乐观锁总结和实践
2019独角兽企业重金招聘Python工程师标准>>> 上一篇文章《MySQL悲观锁总结和实践》谈到了MySQL悲观锁,但是悲观锁并不是适用于任何场景,它也有它存在的一些不足,因为悲观锁大多数情况下依靠数据库的锁机制实现,以保证操…

数据竞争(data race)问题分析的利器——valgrind的Helgrind
数据竞争(data race)是指在非线程安全的情况下,多线程对同一个地址空间进行写操作。一般来说,我们都会通过线程同步方法来保证数据的安全,比如采用互斥量或者读写锁。但是由于某些笔误或者设计的缺陷,还是存…

sql charindex函数
CHARINDEX函数返回字符或者字符串在另一个字符串中的起始位置。CHARINDEX函数调用方法如下: CHARINDEX ( expression1 , expression2 [ , start_location ] ) Expression1是要到expression2中寻找的字符中,start_location是CHARINDEX函数开始在expressi…